Piazza dell'Ospitale, 2 - Trieste (TS)

 Piazza dell'Ospitale, 2 - Trieste (TS)

ADDIO Parodontite / Piorrea con Terapia non chirurgica e INDOLORE

Evita l'estrazione o la perdita dei tuoi denti grazie al nostro Approccio Salvadente

ADDIO Parodontite / Piorrea con Terapia non chirurgica e INDOLORE

Evita l'estrazione o la perdita dei tuoi denti grazie al nostro Approccio Salvadente

In cosa consiste l'Approccio Salvadente?

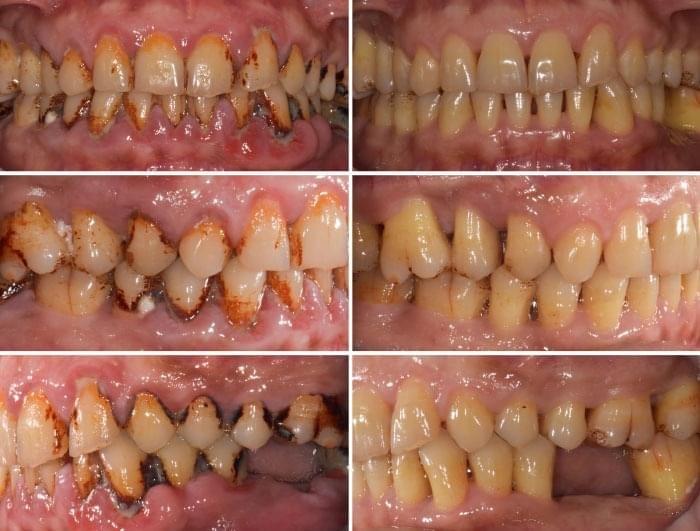
L'Approccio Salvadente racchiude le tecniche più efficaci ad oggi esistenti per riuscire finalmente ad avere una cura, affidabile e non invasiva, per la parodontite.

Sono decenni ormai che vengono ingiustamente estratti moltissimi denti naturali per via di questa malattia, ritenuta da sempre difficile da curare.

Per fortuna però la tecnologia fa passi da gigante anche nel settore dentale. Nel nostro studio ci siamo immediatamente dotati di tutte quelle nuove strumentazioni che rendono ad oggi la cura della parodontite POSSIBILE.

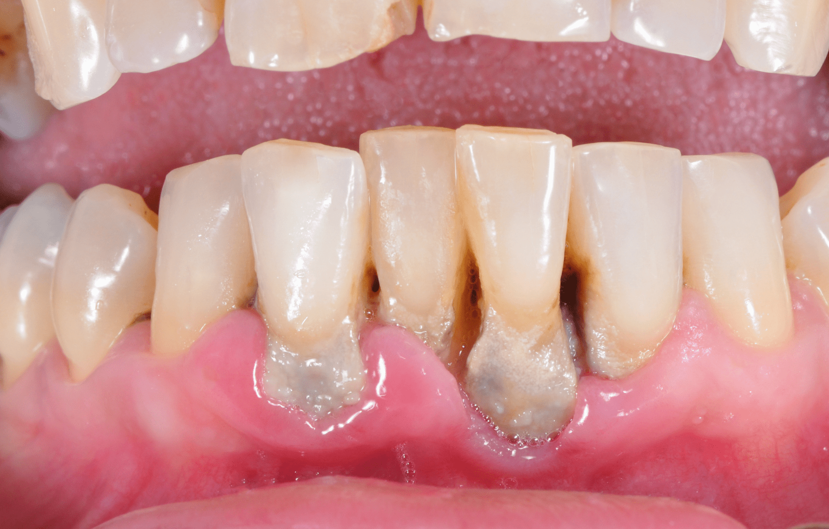
Attraverso una Disinfezione Profonda, indolore e non chirurgica, andremo ad eliminare i batteri che causano la malattia e che si sono accumulati nell'area in cui la gengiva incontra il dente, ovvero nella cosiddetta tasca parodontale.

Per un Dentista Aggiornato ed Etico non è più ammissibile condannare all'estrazione dei denti naturali che potrebbe tranquillamente essere salvati... con vantaggi biologici ed economici per il paziente.

Eh si, perché curare un dente dalla parodontite ha anche costi assolutamente non paragonabili all'estrazione con successiva sostituzione del dente con un impianto.

Qui da Arcudent poco ci importa del valore economico. Trattiamo i denti dei nostri pazienti come se fossero quelli dei nostri figli.

Grazie all'Approccio Salvadente nel giro di alcune settimane i tuoi denti naturali torneranno sani e forti e non dovrai effettuare nessuna estrazione.

Quali sono i benefici per il paziente?

- NESSUNA ESTRAZIONE

Il nostro approccio ci consente in molti casi di curare i tuoi denti senza dover estrarli per inserire gli impianti dentali.

Ricorda che per quanto i denti artificiali possano essere fatti in maniera ottimale, non saranno mai come i tuoi denti naturali.

Sebbene per noi dentisti inserire un impianto dentale possa essere economicamente più vantaggioso e meno dispendioso a livello di tempo, qui da Arcudent abbiamo una filosofia "proponiamo al paziente esattamente ciò che faremmo noi nella nostra bocca".

Perciò cerchiamo di evitare quante più estrazioni possibili. Da questa volontà nasce l'Approccio Salvadente.

- TRATTAMENTO MINI-INVASIVO

La profonda disinfezione che andremo ad eseguire per rimuovere l'accumulo di batteri presenti nella "tasca parodontale" sarà del tutto indolore.

Infatti grazie ai nostri strumenti di ultima generazione siamo in grado di procedere in maniera NON chirurgica e del tutto mini-invasiva.

In cosa consiste l'Approccio Salvadente?

L'Approccio Salvadente racchiude le tecniche più efficaci ad oggi esistenti per riuscire finalmente ad avere una cura, affidabile e non invasiva, per la parodontite.

Sono decenni ormai che vengono ingiustamente estratti moltissimi denti naturali per via di questa malattia, ritenuta da sempre difficile da curare.

Per fortuna però la tecnologia fa passi da gigante anche nel settore dentale. Nel nostro studio ci siamo immediatamente dotati di tutte quelle nuove strumentazioni che rendono ad oggi la cura della parodontite POSSIBILE.

Attraverso una Disinfezione Profonda, indolore e non chirurgica, andremo ad eliminare i batteri che causano la malattia e che si sono accumulati nell'area in cui la gengiva incontra il dente, ovvero nella cosiddetta tasca parodontale.

Per un Dentista Aggiornato ed Etico non è più ammissibile condannare all'estrazione dei denti naturali che potrebbe tranquillamente essere salvati... con vantaggi biologici ed economici per il paziente.

Eh si, perché curare un dente dalla parodontite ha anche costi assolutamente non paragonabili all'estrazione con successiva sostituzione del dente con un impianto.

Qui da Arcudent poco ci importa del valore economico. Trattiamo i denti dei nostri pazienti come se fossero quelli dei nostri figli.

Grazie all'Approccio Salvadente nel giro di alcune settimane i tuoi denti naturali torneranno sani e forti e non dovrai effettuare nessuna estrazione.

Quali sono i benefici per il paziente?

- NESSUNA ESTRAZIONE

Il nostro approccio ci consente in molti casi di curare i tuoi denti senza dover estrarli per inserire gli impianti dentali.

Ricorda che per quanto i denti artificiali possano essere fatti in maniera ottimale, non saranno mai come i tuoi denti naturali.

Sebbene per noi dentisti inserire un impianto dentale possa essere economicamente più vantaggioso e meno dispendioso a livello di tempo, qui da Arcudent abbiamo una filosofia "proponiamo al paziente esattamente ciò che faremmo noi nella nostra bocca".

Perciò cerchiamo di evitare quante più estrazioni possibili. Da questa volontà nasce l'Approccio Salvadente.

- TRATTAMENTO MINI-INVASIVO

La profonda disinfezione che andremo ad eseguire per rimuovere l'accumulo di batteri presenti nella "tasca parodontale" sarà del tutto indolore.

Infatti grazie ai nostri strumenti di ultima generazione siamo in grado di procedere in maniera NON chirurgica e del tutto mini-invasiva.

Arcudent Srls

Piazza dell'Ospitale, 2, 34129 - Trieste (TS)
TEL. +39 040 369153
E-MAIL info@arcudent.it
P-IVA. 01374240321
Capitale Sociale: 1,00€

Direttore Sanitario: Dott.ssa Adriana Cipolla, iscritta all'ordine degli odontoiatri della provincia di Catania n 308

Autorizzazione Sanitaria: asugi-t-gen-iv-1-d-6 0033039

© 2023 ArcuDent - Studio Dentistico


 *This Website is not a part of Facebook or Facebook Inc. Additionally, this site is NOT endorsed by Facebook in any way. FACEBOOK is a trademark of FACEBOOK Inc. Questo sito non fa parte del sito Facebook o Facebook Inc. Inoltre, questo sito NON è approvato da Facebook in alcun modo. FACEBOOK è un marchio registrato di FACEBOOK, Inc.